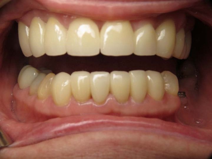
Katie was embarrassed about her space when she smiled. She told us her wedding pictures had all been taken from the side without the space. She had a dental phobia and started only getting her fillings done that caused pain. Once we had gained her trust she asked if we could fix the space. She was elated with the results. These are fillings shaped and cured in the office. In the future she may elect for crowns or veneers.